Implanty w jeden dzień w Stargardzie to rozwiązanie, które zyskuje coraz większą popularność wśród pacjentów poszukujących szybkiej i efektywnej metody odbudowy uzębienia. Jedną z głównych zalet tego typu zabiegu jest znacząca oszczędność czasu. W tradycyjnych metodach pacjenci muszą czekać na gojenie się dziąseł oraz integrację implantu z kością, co może trwać od kilku tygodni do kilku miesięcy. W przypadku implantów w jeden dzień cały proces odbywa się w krótkim czasie, co pozwala na natychmiastowe cieszenie się nowym uśmiechem. Kolejną zaletą jest minimalna inwazyjność zabiegu. Dzięki nowoczesnym technologiom i precyzyjnym technikom chirurgicznym, implanty mogą być wszczepiane z mniejszym ryzykiem powikłań oraz bólu. Dodatkowo, pacjenci często zauważają poprawę estetyki uśmiechu już po pierwszej wizycie, co znacząco wpływa na ich pewność siebie. Warto również wspomnieć o możliwości dostosowania implantu do indywidualnych potrzeb pacjenta, co sprawia, że każdy może liczyć na idealne dopasowanie i komfort noszenia.
Jak wygląda proces zakupu implantów w jeden dzień w Stargardzie
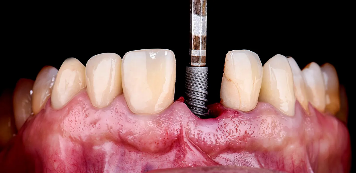
Proces zakupu implantów w jeden dzień w Stargardzie rozpoczyna się od konsultacji ze specjalistą, który ocenia stan zdrowia pacjenta oraz przeprowadza szczegółowe badania diagnostyczne. Na tym etapie lekarz omawia z pacjentem wszystkie dostępne opcje oraz odpowiada na ewentualne pytania dotyczące zabiegu. Następnie, jeśli pacjent zdecyduje się na implanty, przystępuje do planowania zabiegu. Ważnym krokiem jest wykonanie zdjęć rentgenowskich oraz tomografii komputerowej, które pozwalają na dokładne zaplanowanie umiejscowienia implantu. Kolejnym etapem jest sam zabieg wszczepienia implantu, który zazwyczaj odbywa się pod znieczuleniem miejscowym lub ogólnym, w zależności od preferencji pacjenta oraz skomplikowania przypadku. Po wszczepieniu implantu lekarz może od razu zamontować koronę protetyczną, co pozwala na natychmiastowe uzyskanie estetycznego efektu. Po zakończeniu zabiegu pacjent otrzymuje szczegółowe instrukcje dotyczące pielęgnacji jamy ustnej oraz zaleceń pooperacyjnych, co jest kluczowe dla prawidłowego gojenia się tkanek i integracji implantu z kością.
Czy implanty w jeden dzień są bezpieczne dla zdrowia

Bezpieczeństwo implantów w jeden dzień w Stargardzie to istotny temat, który często budzi obawy u potencjalnych pacjentów. Warto zaznaczyć, że nowoczesne technologie oraz zaawansowane metody chirurgiczne znacznie zwiększają bezpieczeństwo tego typu zabiegów. Lekarze stosują materiały wysokiej jakości, które są biokompatybilne i dobrze tolerowane przez organizm ludzki. Przed przystąpieniem do zabiegu każdy pacjent przechodzi szczegółową ocenę stanu zdrowia oraz wywiad medyczny, co pozwala na wykluczenie ewentualnych przeciwwskazań do wszczepienia implantu. Ważnym elementem jest także odpowiednia higiena jamy ustnej przed i po zabiegu, co minimalizuje ryzyko infekcji oraz innych powikłań. Pacjenci powinni również przestrzegać zaleceń lekarza dotyczących diety oraz aktywności fizycznej po operacji. W przypadku jakichkolwiek niepokojących objawów warto niezwłocznie skontaktować się ze specjalistą. Wiele osób decydujących się na implanty w jeden dzień zauważa znaczną poprawę jakości życia oraz komfortu psychicznego po zakończeniu leczenia.
Jakie są koszty związane z implantami w jeden dzień w Stargardzie
Koszty związane z implantami w jeden dzień w Stargardzie mogą się znacznie różnić w zależności od wielu czynników, takich jak doświadczenie lekarza, lokalizacja gabinetu czy zastosowane materiały. Zazwyczaj cena jednego implantu obejmuje nie tylko sam materiał implantacyjny, ale także koszty związane z konsultacją, badaniami diagnostycznymi oraz procedurą chirurgiczną. Warto zwrócić uwagę na to, że chociaż początkowa inwestycja może wydawać się wysoka, to długoterminowe korzyści zdrowotne i estetyczne są nieocenione. Implanty są trwałym rozwiązaniem, które przy odpowiedniej pielęgnacji mogą służyć przez wiele lat bez konieczności wymiany. Często gabinety stomatologiczne oferują różne formy finansowania lub możliwość rozłożenia płatności na raty, co może ułatwić dostęp do tego typu usług dla szerszego grona pacjentów. Dodatkowo warto porównać oferty różnych klinik i zwrócić uwagę na opinie innych pacjentów przed podjęciem decyzji o wyborze konkretnego miejsca do przeprowadzenia zabiegu.
Jakie są najczęstsze pytania dotyczące implantów w jeden dzień w Stargardzie
Wiele osób, które rozważają zabieg wszczepienia implantów w jeden dzień w Stargardzie, ma wiele pytań dotyczących tego procesu. Jednym z najczęściej zadawanych pytań jest to, jak długo trwa cały zabieg. Zazwyczaj cała procedura zajmuje kilka godzin, a pacjent może opuścić gabinet z nowym uśmiechem jeszcze tego samego dnia. Kolejnym istotnym zagadnieniem jest kwestia bólu i dyskomfortu po zabiegu. W większości przypadków pacjenci doświadczają jedynie niewielkiego dyskomfortu, który można złagodzić za pomocą leków przeciwbólowych przepisanych przez lekarza. Inne pytanie dotyczy trwałości implantów. Przy odpowiedniej pielęgnacji oraz regularnych wizytach kontrolnych, implanty mogą służyć przez wiele lat, a nawet przez całe życie. Pacjenci często zastanawiają się również nad tym, czy istnieją jakieś przeciwwskazania do przeprowadzenia zabiegu. Osoby z chorobami przewlekłymi, takimi jak cukrzyca czy choroby serca, powinny skonsultować się ze specjalistą przed podjęciem decyzji o wszczepieniu implantu. Oprócz tego warto dowiedzieć się, jakie są zalecenia dotyczące pielęgnacji jamy ustnej po zabiegu oraz jak dbać o zdrowie implantów na co dzień.
Jakie są opinie pacjentów na temat implantów w jeden dzień w Stargardzie
Opinie pacjentów na temat implantów w jeden dzień w Stargardzie są zazwyczaj pozytywne, co świadczy o wysokiej jakości usług oferowanych przez lokalne kliniki stomatologiczne. Wiele osób podkreśla wygodę i szybkość całego procesu, co pozwala im uniknąć długiego oczekiwania na efekt końcowy. Pacjenci często chwalą sobie także profesjonalizm personelu oraz indywidualne podejście do ich potrzeb. Dodatkowo, wielu z nich zauważa znaczną poprawę estetyki uśmiechu oraz komfortu życia po zakończeniu leczenia. Opinie te często zawierają również informacje o minimalnym bólu i dyskomforcie po zabiegu, co jest istotnym czynnikiem dla osób obawiających się inwazyjnych procedur stomatologicznych. Niektórzy pacjenci dzielą się swoimi doświadczeniami związanymi z procesem gojenia oraz integracji implantu z kością, co również wpływa na ogólną satysfakcję z przeprowadzonego zabiegu. Warto jednak pamiętać, że każda osoba jest inna i reakcje na zabieg mogą się różnić w zależności od indywidualnych predyspozycji zdrowotnych oraz przestrzegania zaleceń lekarza.
Jakie technologie są wykorzystywane przy implantach w jeden dzień w Stargardzie
W przypadku implantów w jeden dzień w Stargardzie wykorzystywane są nowoczesne technologie, które znacząco zwiększają efektywność i bezpieczeństwo zabiegów stomatologicznych. Jedną z kluczowych innowacji jest zastosowanie tomografii komputerowej, która pozwala na dokładne obrazowanie struktury kości oraz precyzyjne planowanie umiejscowienia implantu. Dzięki temu lekarze mogą uniknąć potencjalnych komplikacji i dostosować zabieg do indywidualnych potrzeb pacjenta. Kolejnym istotnym elementem jest wykorzystanie materiałów wysokiej jakości, takich jak tytan czy ceramika, które charakteryzują się doskonałą biokompatybilnością oraz trwałością. Dzięki temu implanty mogą być skutecznie integrowane z kością i służyć pacjentom przez wiele lat bez konieczności wymiany. Warto również wspomnieć o technikach cyfrowych stosowanych do projektowania koron protetycznych, które umożliwiają szybkie i precyzyjne wykonanie uzupełnienia protetycznego zaraz po wszczepieniu implantu. Takie podejście nie tylko przyspiesza cały proces leczenia, ale także zwiększa komfort pacjentów oraz poprawia estetykę uśmiechu już po pierwszej wizycie.
Jak przygotować się do zabiegu implantów w jeden dzień w Stargardzie
Przygotowanie do zabiegu wszczepienia implantów w jeden dzień w Stargardzie jest kluczowym krokiem, który może wpłynąć na powodzenie całej procedury oraz komfort pacjenta. Na początku warto umówić się na konsultację ze specjalistą, który oceni stan zdrowia jamy ustnej oraz przeprowadzi niezbędne badania diagnostyczne. Przed samym zabiegiem lekarz może zalecić wykonanie zdjęcia rentgenowskiego lub tomografii komputerowej, aby dokładnie zaplanować umiejscowienie implantu. W dniu zabiegu ważne jest również odpowiednie przygotowanie fizyczne – pacjent powinien unikać spożywania ciężkostrawnych posiłków oraz alkoholu na kilka dni przed wizytą. Zaleca się także przybycie do gabinetu stomatologicznego z osobą towarzyszącą, która pomoże wrócić do domu po zakończeniu procedury. Po zabiegu istotne jest przestrzeganie zaleceń lekarza dotyczących diety oraz higieny jamy ustnej, aby zapewnić prawidłowe gojenie się tkanek i integrację implantu z kością. Pacjenci powinni być świadomi ewentualnych objawów niepożądanych i niezwłocznie zgłaszać je lekarzowi.
Jak dbać o implanty po ich wszczepieniu w Stargardzie
Dbanie o implanty po ich wszczepieniu w Stargardzie jest kluczowe dla zapewnienia ich długotrwałej funkcjonalności oraz estetyki uśmiechu. Po zakończeniu zabiegu pacjent otrzymuje szczegółowe instrukcje dotyczące pielęgnacji jamy ustnej oraz zaleceń pooperacyjnych. Ważnym elementem jest regularna higiena jamy ustnej – należy myć zęby co najmniej dwa razy dziennie przy użyciu miękkiej szczoteczki oraz pasty do zębów zawierającej fluor. Rekomendowane jest także stosowanie nici dentystycznej lub irygatora wodnego do usuwania resztek pokarmowych z trudno dostępnych miejsc wokół implantu. Regularne wizyty kontrolne u stomatologa są niezbędne dla monitorowania stanu zdrowia jamy ustnej oraz ewentualnego wykrywania problemów we wczesnym stadium. Pacjenci powinni unikać twardych pokarmów i nadmiernego obciążania implantu przez pierwsze tygodnie po operacji, aby dać czas tkankom na zagojenie się wokół implantu.
Co warto wiedzieć o wyborze kliniki stomatologicznej oferującej implanty w jeden dzień
Wybór odpowiedniej kliniki stomatologicznej oferującej implanty w jeden dzień w Stargardzie to kluczowy krok dla każdego pacjenta planującego ten rodzaj leczenia. Przed podjęciem decyzji warto zwrócić uwagę na kilka istotnych aspektów. Po pierwsze należy sprawdzić doświadczenie i kwalifikacje personelu medycznego – warto poszukać informacji o lekarzach prowadzących klinikę oraz ich specjalizacjach związanych z implantologią. Opinie innych pacjentów mogą być pomocne przy ocenie jakości usług oferowanych przez daną placówkę – warto poszukać recenzji online lub porozmawiać z osobami, które korzystały z usług danej kliniki.






